Новая мультимодальная радиочастотная терапия смешанного недержания мочи: пилотное исследование
Пабло Гонсалес Исаза1, Диана Лорена Велес Ризо2
1 Отделение урогинекологии и реконструктивной хирургии таза, кафедра акушерства и гинекологии, Университетская больница Сан-Хорхе, Перейра, Колумбия
2 Отделение женского здоровья, фонд “Cardioinfantil La Cardio”, Богота, Колумбия
Абстракт
Обоснование. Смешанное недержание мочи (СНМ) значительно ухудшает качество жизни (КЖ) пациентов и представляет собой терапевтическую проблему в силу своей многофакторной этиологии. Традиционные методы лечения, включая фармакотерапию и хирургическое вмешательство, часто приводят к неоптимальным результатам или сопряжены со значительным риском.
Цель данного исследования — оценить эффективность и безопасность новой мультимодальной радиочастотной (multimodal radiofrequency; MMRF) терапии для улучшения симптомов СНМ, КЖ и гистологических маркеров целостности тканей таза.
Методы. В проспективном пилотном исследовании приняли участие 20 пациенток с диагнозом СНМ, которым была проведена MMRF-терапия, состоящая из двух методик: применения технологии Morpheus V, обеспечивающей фракционную доставку радиочастотной энергии, и Forma V, обеспечивающей биполярную доставку энергии для поверхностного уплотнения тканей (Empower Bipolar Radiofrequency Platform InMode Aesthetics, Lake Forest, California, серийный номер R30326211). Лечение проводилось в течение двух-трех сеансов с последующим контролем через 3 и 6 мес. Субъективные результаты оценивались с помощью валидированных шкал, включая опросник Международного консилиума по недержанию мочи — краткая форма (ICIQ-SF), шкалу Потенциани, оценку симптомов гиперактивного мочевого пузыря (OAB-SS) и показатели КЖ с использованием визуальной аналоговой шкалы (0–10). Для оценки гистологических изменений в исходном состоянии и через 6 мес была проведена панч-биопсия из передней стенки влагалища. Статистический анализ проводился для определения значимости различий до и после лечения.
Результаты. В исследование были включены 20 участниц. Показатели по шкале ICIQ-SF снизились с 14,05 ± 4,22 в исходном состоянии до 10,05 ± 3,79 через 3 мес и до 7,65 ± 4,44 через 6 мес (p < 0,01). Показатели по шкалам Потенциани и OAB-SS снизились аналогичным образом, что свидетельствует об улучшении контроля над мочевым пузырем и облегчении императивных позывов (p < 0,001). Значительно улучшилось качество жизни: средний балл по шкале КЖ снизился с 6,00 ± 1,03 в исходном состоянии до 2,95 ± 0,94 через 6 мес (p < 0,001). Гистологический анализ выявил увеличение плотности коллагена, усиление васкуляризации и уменьшение количества воспалительных инфильтратов, что способствовало ремоделированию тканей и функциональному восстановлению.
Заключение. Терапия MMRF — это безопасный, эффективный и малоинвазивный метод лечения СНМ, который направлен как на структурные, так и на функциональные факторы недержания. Значительное улучшение выраженности симптомов, КЖ и целостности тканей в результате применения MMRF подчеркивает перспективность этого нехирургического метода лечения дисфункции тазового дна. Для подтверждения полученных результатов и утверждения MMRF в качестве стандартного метода лечения СНМ рекомендуется проведение дальнейших исследований с привлечением более крупных групп населения и длительным наблюдением.
Ключевые слова: смешанное недержание мочи, качество жизни, мультимодальная радиочастотная терапия, безопасность
Введение
Смешанное недержание мочи (СНМ) — распространенное состояние, особенно среди женщин, которое характеризуется сочетанием стрессового и императивного недержания мочи. Влияя на качество жизни (КЖ), СНМ оказывает значительное психологическое и социальное бремя на 15,7–20,5% женщин в США по данным за 2017–2018 гг. Эта распространенность была выше у женщин в возрасте 60 лет и старше (12,9–19,0 %) [1], при этом аналогичные показатели наблюдались и в других регионах [2], а среднегодовая распространенность всех видов недержания мочи в мире варьирует от 1 до 9% [3]. Традиционные подходы к лечению включают изменение образа жизни, фармакологическую терапию, упражнения для тазового дна, а в тяжелых случаях — хирургическое вмешательство [4–8]. Несмотря на эти варианты, многие пациенты сталкиваются с ограниченной эффективностью, побочными эффектами или плохой долгосрочной приверженностью схемам лечения [9–11]. В последние годы в качестве малоинвазивных альтернативных методик появились энергетические устройства, использующие лазеры, радиочастотную (RF) энергию и высокоинтенсивный фокусированный ультразвук. Эти методы способствуют ремоделированию коллагена и уплотнению тканей, потенциально улучшая структурную и функциональную целостность тазового дна и уретры. Среди них мультимодальные радиочастотные (multimodal radiofrequency; MMRF) технологии, в том числе Morpheus V и Forma V, продемонстрировали свою эффективность в улучшении здоровья тканей влагалища и уретры [7, 12, 13]. Однако убедительных доказательств их эффективности в лечении СНМ пока недостаточно, что требует дальнейших исследований [14, 15].
Несмотря на то что новые технологии набирают обороты, в понимании их долгосрочной эффективности и механизмов действия при СНМ остаются пробелы. Предыдущие исследования были сосредоточены в основном на субъективном улучшении симптомов, часто с опорой на отзывы пациентов без соотнесения их с эффективными биомаркерами или гистологическими данными [16, 17]. Кроме того, в исследованиях зачастую делается акцент на отдельных методах или не учитывается многогранная природа СНМ, которая включает в себя как структурные, так и функциональные нарушения [18–20]. Клиническую применимость MMRF-терапии, которая сочетает в себе эффекты тканевого ремоделирования и нейромодуляции, еще предстоит тщательно оценить. Для того чтобы определить истинный потенциал этих технологий в лечении СНМ, необходимы комплексные исследования, включающие оценку результатов по отзывам пациентов (patient-reported outcome measures; PROM) и объективные показатели [9].
Мы предположили, что MMRF-терапия с использованием Morpheus V и Forma V может значительно улучшить симптомы СНМ за счет усиления структурной поддержки и нейромышечной функции тазового дна. Эта гипотеза основана на двойном действии RF-технологии, которая способствует уплотнению тканей и модулирует пути гиперактивного мочевого пузыря. Главный вопрос исследования заключается в том, приводит ли данная терапия к измеримому улучшению по валидированным показателями результатов лечения, включая опросник Международного консилиума по недержанию мочи — краткая форма (International Consultation on Incontinence Questionnaire — Short Form; ICIQ-SF), шкалу Потенциани (Potenziani-14-CI-IO-QOL-2000) и оценку симптомов гиперактивного мочевого пузыря (Overactive Bladder Symptom Score; OAB-SS), а также в корреляции этих результатов с гистологическими изменениями, наблюдаемыми в панч-биоптатах.
Цель данного исследования — дать всестороннюю оценку технологии MMRF как нового минимально инвазивного метода лечения СНМ, устанавливая взаимосвязь между субъективным облегчением симптомов и объективными изменениями на тканевом уровне.
Для устранения существующих пробелов мы использовали систематический подход, включающий 6-месячное наблюдение за пациентками, прошедшими терапию Morpheus V и Forma V. Это исследование объединило PROM и объективные методы оценки, включая валидированные опросники и панч-биопсию, чтобы обеспечить целостную оценку результатов терапии. Сочетая два взаимодополняющих RF-метода, мы стремились использовать синергетический эффект глубокого ремоделирования тканей и поверхностного уплотнения, направленный как на структурные, так и на функциональные факторы, способствующие СНМ. Этот механизм двойного действия представляет собой новую парадигму для нехирургического лечения СНМ. Важно отметить, что данное исследование восполняет критические пробелы в существующей литературе, связывая результаты по отзывам пациентов с гистологическими изменениями, тем самым обеспечивая новое понимание механизмов, лежащих в основе улучшения симптомов. Полученные нами результаты помогут в принятии клинических решений и утвердят терапию MMRF в качестве жизнеспособного научно обоснованного варианта лечения СНМ.
Материалы и методы
Дизайн и условия исследования
Проспективное описательное экспериментальное пилотное исследование проводилось с августа 2023 по февраль 2024 г. в отделении урогинекологии кафедры акушерства и гинекологии Университетской больницы Сан-Хорхе в Перейре, Колумбия.
Участники
Для участия в исследовании были приглашены взрослые пациентки с клинически диагностированным СНМ — состоянием, определяемым одновременными симптомами стрессового и императивного недержания мочи. Для обеспечения однородности и надежности использовались строгие критерии включения и невключения. К участию допускались женщины без предшествующих операций по поводу пролапса тазовых органов и готовые придерживаться 6-месячного протокола наблюдения. Напротив, пациентки с прогрессирующим пролапсом тазовых органов (количественная оценка пролапса тазовых органов (pelvic organ prolapse quantification; POP-Q), стадия > 1-й), недиагностированным маточным кровотечением, ректовагинальными или везиковагинальными (пузырно-влагалищными) свищами в анамнезе не рассматривались. Дополнительными критериями невключения были курящие, лица, проходящие одновременную энергетическую терапию или реабилитацию тазового дна, а также лица со значительными сопутствующими заболеваниями, которые могли бы повлиять на результаты исследования. Эти критерии были тщательно подобраны, чтобы сосредоточиться на популяции, которая получит наибольшую пользу от терапии MMRF, и исключить факторы, которые могли бы повлиять на результаты.
MMRF-терапия
MMRF-терапия проводилась по двухэтапному протоколу, объединяющему технологии Morpheus V и Forma V (рис. 1). На первом этапе применялся Morpheus V, который имеет прозрачный корпус с видимой внутренней схемой и использует фракционную RF-энергию, подаваемую на частоте 1 МГц с пиковой мощностью 65 Вт. Специализированный аппликатор, оснащенный 24 микроиглами, использовался для воздействия на определенные зоны в полости влагалища, особенно на те, которые участвуют в механизмах недержания. Микроиглы позволяли регулировать глубину проникновения от 1 до 3 мм, доставляя около 200 мДж на импульс для ремоделирования тканей с помощью тепловой энергии при минимальном повреждении поверхностных слоев. Температура на двух этапах RF-терапии зависит от применяемого аппарата. Morpheus8 V обеспечивает фракционное биполярное RF-излучение при температурах 58 и 61 °C, а Forma V — биполярное RF-излучение при 40 и 43 °C. На втором этапе использовался аппликатор Forma V, оснащенный плоскими и сферическими электродами, который обеспечивал частоту 1 МГц с пиковой мощностью 40 Вт в режиме биполярного RF-излучения. Этот этап направлен на поверхностное уплотнение тканей и нейромодуляцию с помощью прямоугольных конфигураций импульсов с применением специально разработанного эргономичного аппликатора. В обоих случаях имеются встроенные системы охлаждения и встроенные датчики импеданса, сеансы проводились через заранее определенные временные интервалы в рамках структурированной реабилитационной программы. Продолжительность сеансов зависела от пациента и не была стандартной. Время сеанса Morpheus8 V зависело от количества проходов (обычно выполнялось три прохода с разным уровнем энергии и глубиной проникновения), а биполярное RF-воздействие Forma V длилась 20 мин. Интервал между сеансами зависел от используемого аппарата. Терапия Morpheus8 V состояла из трех сеансов с интервалом в 4 нед, а Forma V — из шести сеансов с интервалом в 2 нед. Все процедуры проводились в стандартных условиях обученными и опытными медицинскими сестрами из исследовательского центра.
Показатели результатов
Для комплексной оценки эффективности терапии MMRF были включены как PROM, так и объективные показатели результатов. PROM включали такие валидированные шкалы, как ICIQ-SF [21, 22], шкала Потенциани [23] и OAB-SS [24], которые применялись на исходном уровне и через 6 мес после лечения. Эти инструменты обеспечивали количественную оценку тяжести симптомов, КЖ пациента и функционального воздействия СНМ [25]. Для объективной оценки проводили забор панч-биоптатов из передней стенки влагалища в области уретровагинального соединения до начала терапии и через 6 мес после нее. Гистологический анализ (окраска гематоксилином/эозином) этих образцов был направлен на выявление морфологических и структурных изменений, свидетельствующих о терапевтическом эффекте, включая ремоделирование коллагена и сосудистые изменения. Интеграция PROM и объективных показателей должна была обеспечить комплексное понимание эффективности лечения.
Этические соображения
Исследование соответствовало этическим принципам, изложенным в международных руководствах, включая Хельсинкскую декларацию, Бельмонтский отчет и стандарты Совета международных организаций медицинских наук (CIOMS). Все участники дали письменное информированное согласие после получения подробного объяснения цели исследования, процедур, рисков и преимуществ. Данное исследование было классифицировано как исследование с минимальным и сверхминимальным риском, что подтверждается доклиническими и клиническими данными, демонстрирующими безопасность RF-вмешательств на людях. Для обеспечения соответствия национальным нормам было получено разрешение этического комитета больницы. Меры по защите участников включали анонимный сбор данных, безопасное хранение медицинской документации и возможность отказаться от участия в исследовании в любое время без последствий.
Статистический анализ
Непрерывные переменные были представлены как средние значения со стандартными отклонениями (SD), в то время как категориальные переменные были проанализированы с помощью теста хи-квадрат. Для определения значимости наблюдаемых изменений сравнивали показатели до и после лечения по валидированным шкалам с помощью парных тестов Манна – Уитни, Краскела – Уоллиса и Данна. Гистологические результаты, полученные при панч-биопсии, оценивались качественно и количественно для оценки изменений на тканевом уровне в соответствии с клиническими исходами. Статистическая значимость определялась при p < 0,05.
Результаты
Характеристики участников
В исследование были включены 20 участниц, средний возраст которых составил 56,15 года (SD 9,78) — от 44 до 84 лет. Медианное число родов среди участниц составило 3, при этом у большинства (40%) родилось трое живых детей. Около 60% участниц имели 0-ю стадию POP-Q, а остальные 40% — 1-ю стадию. Большинство участниц (65%) прошли 3 сеанса лечения, а остальные — 2. Исходное уродинамическое обследование выявило сочетание нормальных показателей и переменного внутрибрюшного давления точки утечки (abdominal leak-point pressures; ALPP), распределенного по различным пороговым значениям (табл. 1). Ни у одной из 20 пациенток не было отмечено побочных явлений, нежелательных симптомов, связанных с лечением, или осложнений.
Таблица 1. Исходные клинические характеристики
| Категория | Частота, n | Процентное содержание, % |
| Порядковый номер | ||
| 1 | 3 | 15 |
| 2 | 5 | 25 |
| 3 | 8 | 40 |
| 4 | 3 | 15 |
| 5 | 1 | 5 |
| Сессии | ||
| 2 | 7 | 35 |
| 3 | 13 | 65 |
| Тест Q-tip | ||
| < 30 градусов | 11 | 55 |
| > 30 градусов | 9 | 45 |
| Уродинамика | ||
| Норма | 10 | 50 |
| ALPP 54 | 2 | 10 |
| ALPP 65 | 2 | 10 |
| ALPP 80 | 2 | 10 |
| ALPP 56 | 1 | 5 |
| ALPP 70 | 1 | 5 |
| ALPP 76 | 1 | 5 |
| ALPP 90 | 1 | 5 |
| POP-Q | ||
| Стадия 0 | 12 | 60 |
| Стадия 1 | 8 | 40 |
Примечание. ALPP — внутрибрюшное давление точки утечки; POP-Q — количественная оценка пролапса тазовых органов.
PROM
Средний исходный балл по опроснику ICIQ-SF составил 14,05 (SD 4,22), что отражало умеренную выраженность симптомов. Через 3 мес средний балл снизился до 10,05 (SD 3,79), а через 6 мес — до 7,65 (SD 4,44). Было отмечено значительное улучшение показателей ICIQ-SF как через 3, так и через 6 мес по сравнению с исходным уровнем (p < 0,01). Аналогичным образом показатели по шкале Потенциани продемонстрировали заметное улучшение с течением времени. Исходные показатели составили в среднем 12,55 (SD 2,44), снизившись до 10,05 (SD 2,06) через 3 мес и до 6,20 (SD 1,91) — через 6 мес. Изменения были статистически значимыми, при этом наблюдалась сильная корреляция (корреляция Пирсона) между исходными и последующими оценками (r = 0,89, p < 0,001). Средний показатель OAB-SS через 3 мес составил 11,68 (SD 2,45), снизившись до 8,68 (SD 1,45) через 6 мес, что представляет собой улучшение на 25,7%. Между этими временными точками наблюдалось статистически значимое снижение баллов по шкале OAB-SS (p < 0,01) с умеренной корреляцией (r = 0,64). Показатели КЖ продемонстрировали значительное улучшение, что согласуется со снижением выраженности симптомов. Средний балл составил 6,00 (SD 1,03) через 3 мес и снизился до 2,95 (SD 0,94) через 6 мес (p < 0,001). Эти улучшения отражают повышение удовлетворенности и благополучия пациентов после лечения (табл. 2).
Таблица 2. Средний (SD) балл PROM и процент улучшения
| PROM | Базовый уровень | 3 мес | 6 мес | % улучшения |
| ICIQ-SF | 14,05 (4,22) | 10,05 (3,79) | 7,65 (4,44) | 45,5 |
| Potenziani | 12,55 (2,44) | 10,05 (2,06) | 6,20 (1,91) | 50,5 |
| OAB-SS | 11,68 (2,45) | 8,68 (1,45) | 25,7* | |
| QOL | 6,0 (1,03) | 2,95 (0,94) | 50,8 |
Примечание. * Оценивались только временные точки 3 мес и 6 мес, при этом 19 пациенток предоставили полные данные. PROM — измерение результатов по отзывам пациентов; SD — стандартное отклонение; ICIQ-SF — опросник Международного консилиума по недержанию мочи — краткая форма; Potenziani — шкала Потенциани; OAB-SS — оценка синдрома гиперактивного мочевого пузыря; QOL — качество жизни.
Гистологические результаты
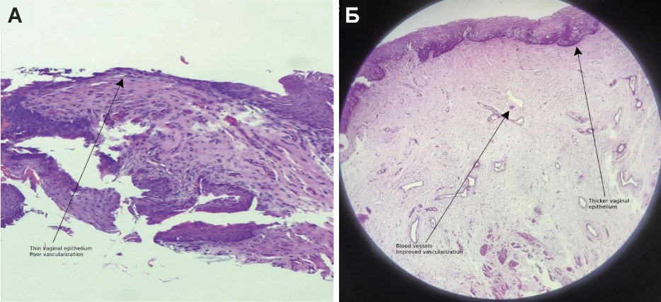
Панч-биоптаты, взятые из передней стенки влагалища, показали заметное ремоделирование тканей после лечения. Плотность коллагена увеличилась через 6 мес по сравнению с исходным уровнем, что свидетельствовало об усилении васкуляризации, созревания эпителия и уменьшении воспалительных инфильтратов. Эти гистологические изменения подтверждают наблюдаемые клинические улучшения, что позволяет предположить, что терапия MMRF эффективно способствует регенерации тканей и восстановлению их функциональности (рис. 2, 3).
Корреляционный анализ
Были обнаружены значимые корреляции между исходными и последующими показателями по всем шкалам, что свидетельствует о постоянстве улучшений. Наиболее сильную корреляционную связь показали баллы по шкале Потенциани (r = 0,89, p < 0,001), затем ICIQ-SF (r = 0,54, p < 0,01) и OAB-SS (r = 0,64, p < 0,01).
Обсуждение
Мы обнаружили, что MMRF-терапия является эффективной и безопасной. В течение 6 мес она привела к значительному улучшению показателей валидированных шкал, таких как ICIQ-SF, шкала Потенциани и ОАB-SS. Кроме того, улучшение КЖ подчеркивает значительное влияние терапии на повседневную жизнь. Гистологические анализы дали дополнительные доказательства, выявив увеличение плотности коллагена и усиление васкуляризации в тканях, подвергшихся лечению. Эти результаты применения нового терапевтического подхода подтверждают гипотезу о том, что MMRF действует через механизмы, отличные от традиционной фармакотерапии, предлагая многообещающую альтернативу для пациентов, которые не отвечают или не переносят традиционные методы лечения.
Наши результаты совпадают с результатами недавних исследований, посвященных энергетическим методам, включая RF [12, 15, 17–20, 26], которые подтверждают этот механизм, подчеркивая роль тепловой энергии в сокращении коллагеновых волокон и неоколлагеногенезе. В 2013 г. Chinthakanan O. и соавт. провели рандомизированное контролируемое исследование, в котором сравнивали низкоэнергетическую вагинальную RF-терапию с имитируемым лечением у женщин в постменопаузе с легким или умеренным стрессовым недержанием мочи. Среди 49 участниц группа RF (n = 23) достигла 69,6% успеха в течение 1 года, что определялось улучшением результатов теста с весом прокладки в течение 1 ч, по сравнению с 38,5% в группе имитируемого лечения. Однако вторичные показатели, такие как КЖ при недержании мочи (Incontinence Quality of Life; I-QOL) и результаты опросника для оценки дискомфорта, связанного с урогенитальными симптомами (Urogenital Distress Inventory-6; UDI-6), статистически не различались [20].
С другой стороны, в 2024 г. Er-Rabiai Y. и соавт. исследовали добавление монополярной неаблятивной RF-терапии к тренировке мышц тазового дна в рандомизированном контролируемом исследовании с участием 38 женщин с умеренным недержанием мочи. В группе RF (n = 18) было достигнуто снижение оценки по шкале ICIQ-SF на 9,4 балла (95% доверительный интервал (ДИ) от −12,6 до −6,3), превысившее минимальную клинически значимую разницу по сравнению со снижением на 3,9 балла (95% ДИ от −6,9 до 1,0) в группе, где проводилась только тренировка мышц тазового дна. Кроме того, в экспериментальной группе наблюдалось значимое улучшение результатов теста с прокладкой в течение 1 ч (p < 0,05) и уменьшение количества еженедельных эпизодов стрессового недержания мочи, при этом в течение 6 мес наблюдался эффект взаимодействия фактора времени и группы (p < 0,001) [18].

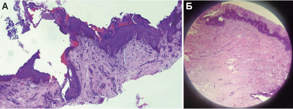
Рис. 2. Гистологические результаты (до лечения): А — атрофический эпителий; Б — плохое созревание эпителия
В 2024 г. Long C.Y. и соавт. провели оценку системы Viveve®, применяя фракционную RF-энергию 90 Дж/см2 за один сеанс у 34 женщин со стрессовым недержанием мочи. Через 6 мес было отмечено значительное уменьшение симптомов: улучшились показатели по опроснику UDI-6 (−3,1 балла), по опроснику для оценки влияния недержания мочи на КЖ Incontinence Impact Questionnaire-7 (−2,8 балла) и ICIQ-SF (−4,5 балла), а также уменьшились подвижность шейки мочевого пузыря и угол поворота проксимальной уретры. Сексуальная функция также улучшилась, о чем свидетельствовало повышение баллов по индексу женской сексуальной функции во всех областях, кроме боли [15]. В 2023 г. Abdelaziz A. и соавт. изучили безопасность и краткосрочную эффективность фракционной биполярной микроигольчатой RF-терапии у 20 женщин с СНМ и генитоуринарным менопаузальным синдромом. При использовании платформы EmpowerRF значительное улучшение симптомов наблюдалось через 1, 3 и 6 мес после лечения. Например, количество баллов по шкале UDI-6 снизилось с 37,2 до 25,4, а показатели I-QOL улучшились на 45%. Результаты томографических исследований выявили усиленное ремоделирование коллагена и неоколлагеногенез, что обеспечивает механистическое обоснование наблюдаемых положительных эффектов [19]. Кроме того, нейромодулирующие эффекты RF-энергии, которые могут влиять на гиперактивность мочевого пузыря и симптомы императивных позывов, дают дополнительное объяснение улучшению показателей по шкалам, связанным с императивностью [26, 27]. Этот механизм двойного действия, сочетающий структурное укрепление и функциональную модуляцию, подчеркивает уникальный терапевтический потенциал MMRF для лечения СНМ.
Хотя проведенное исследование представляется многообещающим, оно имеет свои ограничения. Небольшая выборка (n = 20) ограничивает возможность обобщения, а одноцентровый дизайн без контрольной группы вносит потенциальные искажения. 6-месячное наблюдение, хотя и является достаточным для определения начальной эффективности, не позволяет оценить долгосрочные результаты. Отсутствие исходных данных еще больше ограничивает оценку. Более низкое улучшение показателей OAB-SS между 3-м и 6-м мес может отражать эффект потолка или снижение чувствительности к изменениям, на что указывает группировка баллов в 3 мес. В отличие от этого, более широкие показатели, такие как КЖ и шкала Потенциани, продолжали выявлять улучшения. Несмотря на указанные ограничения, строгие методики и валидированные показатели повышают надежность результатов [21, 22, 24] и обеспечивают клиническую значимость и статистическую достоверность наблюдаемых улучшений. Более того, последовательное соответствие субъективных оценок и объективных гистологических результатов укрепляет наши выводы. Отсутствие нежелательных явлений еще больше подтверждает целесообразность и безопасность MMRF-терапии, что делает ее жизнеспособной альтернативой для пациентов, ищущих неинвазивные варианты. Ожидаемые критические замечания по поводу размера выборки или отсутствия контроля сглаживаются пилотным характером данного исследования, которое служит необходимой основой для будущих крупномасштабных исследований.

Рис. 3. Гистологические результаты через 6 мес после начала лечения: А — усиление созревания эпителия и васкулярности; Б — усиление созревания эпителия, формирование сосочков плотной стромы и повышенная васкуляризация
Результаты этого пилотного исследования открывают путь для дальнейших исследований, которые будут основываться на полученных данных. Для подтверждения эффективности и безопасности MMRF-терапии необходимы более крупные многоцентровые рандомизированные контролируемые исследования. Эти исследования должны быть направлены на сравнение MMRF с общепринятыми методами лечения, такими как фармакотерапия, физиотерапия тазового дна и хирургические вмешательства, чтобы определить относительную эффективность и рентабельность методики. Также необходимы длительные периоды наблюдения для оценки продолжительности облегчения симптомов и прогрессирования гистологических изменений с течением времени. Кроме того, механистические исследования, изучающие нейромодулирующие эффекты RF-энергии, могли бы дать более глубокое понимание вовлеченных путей, что позволило бы выявить биомаркеры для прогнозирования реакции на лечение и оптимизации отбора пациентов.
СНМ — это многофакторное заболевание, которое оказывает глубокое влияние на физическое и психологическое состояние пациентов. Существующие варианты лечения часто не позволяют устранить как структурные, так и функциональные факторы, способствующие недержанию, в результате чего значительная часть пациентов остается неудовлетворенной или не получает лечения. Данное исследование позиционирует MMRF-терапию как инновационный подход, который преодолевает разрыв между консервативным и хирургическим лечением. Одновременно воздействуя на целостность тканей и функцию мочевого пузыря, MMRF предлагает комплексное решение, которое является малоинвазивным, безопасным и эффективным. Способность метода улучшать КЖ, избегая при этом рисков и длительного восстановления, связанных с хирургическим вмешательством, делает его особенно привлекательным вариантом в непрерывной системе лечения дисфункции тазового дна.
Заключение
Наше исследование демонстрирует, что MMRF является перспективным неинвазивным методом лечения СНМ. MMRF устраняет критические пробелы в существующем терапевтическом ландшафте, значительно снижая выраженность симптомов, улучшая КЖ и способствуя гистологическому тканевому ремоделированию. Хотя для подтверждения этих результатов в более крупных и разнообразных популяциях необходимы дальнейшие исследования, результаты представленного пилотного исследования подчеркивают, что MMRF является инновационным и эффективным вариантом лечения СНМ. Этот подход дает надежду пациентам, ищущим облегчения состояния, которое долгое время было трудно поддающимся лечению, и знаменует собой важный шаг вперед в области здоровья тазового дна.
Литература
- Abufaraj M, Xu T, Cao C, et al. Prevalence and trends in urinary incontinence among women in the United States, 2005-2018. Am J Obstet Gynecol. 2021;225:166.e1-166. e12
- Osama M, Shaukat S, Javed M, Naeem M. Prevalence of urinary incontinence among young female adults. J Pak Med Assoc. 2022;72(11):2283-2287. doi pubmed
- Milsom I, Gyhagen M. The prevalence of urinary incon- tinence. Climacteric. 2019;22(3):217-222.
- Balk EM, Rofeberg VN, Adam GP, Kimmel HJ, Trika- linos TA, Jeppson PC. Pharmacologic and nonpharma- cologic treatments for urinary incontinence in women: a systematic review and network meta-analysis of clinical outcomes. Ann Intern Med. 2019;170(7):465-479.
- Game X, Dmochowski R, Robinson D. Mixed urinary incontinence: Are there effective treatments? Neurourol Urodyn. 2023;42(2):401-408.
- Painter CE, Suskind AM. Advances in pharmacotherapy for the treatment of overactive bladder. Curr Bladder Dysfunct Rep. 2019;14(4):377-384.
- Costa A, Vasconcellos IM, Pacheco RL, Bella Z, Riera R. What do Cochrane systematic reviews say about non-sur- gical interventions for urinary incontinence in women? Sao Paulo Med J. 2018;136(1):73-83.
- NICE Guidance — Urinary incontinence and pelvic organ prolapse in women: management: (c) NICE (2019) Uri- nary incontinence and pelvic organ prolapse in women: management. BJU Int. 2019;123(5):777-803.
- Shah GS, Phillips C. What women want now! Eur J Ob- stet Gynecol Reprod Biol. 2023;286:118-120.
- Jha S, Jeppson PC, Dokmeci F, Marquini GV, Sartori MGF, Moalli P, Malik SA. Management of mixed uri- nary incontinence: IUGA committee opinion. Int Urogy- necol J. 2024;35(2):291-301.
- Qatawneh A, Lari FN, Sawas WA, Alsabree FA, Alowaisheer MK, Aldarawsheh MA, Alshareef RA. Man- agement of stress urinary incontinence by obstetricians and gynecologists in jordan: a nationwide survey study. Healthcare (Basel). 2024;12(15):1489.
- Vanaman Wilson MJ, Bolton J, Jones IT, Wu DC, Calame A, Goldman MP. Histologic and clinical changes in vul- vovaginal tissue after treatment with a transcutaneous temperature-controlled radiofrequency device. Dermatol Surg. 2018;44(5):705-713.
- Karcher C, Sadick N. Vaginal rejuvenation using energy- based devices. Int J Womens Dermatol. 2016;2(3):85-88.
- Millheiser LS, Pauls RN, Herbst SJ, Chen BH. Ra- diofrequency treatment of vaginal laxity after vaginal delivery: nonsurgical vaginal tightening. J Sex Med. 2010;7(9):3088-3095.
- Long CY, Chang CY, Sung IC, Loo ZX, Lin KL. The therapeutic effect of monopolar radiofrequency therapy on urinary symptoms and sexual function. Biomedicines. 2024;12(10):2288.
- Rothenberger R, Kopinga E, Dell J, Moore RD, Miklos JR, Karram M. Use of radiofrequency ablation of the vaginal canal for genitourinary syndrome of menopause. J Sex Med. 2025;22(1):51-56.
- Pereira GMV, Almeida CM, Martinho N, de Andrade KC, Juliato CRT, Brito LGO. Pelvic floor muscle training vs radiofrequency for women with vaginal laxity: rand- omized clinical trial. J Sex Med. 2024;21(8):700-708.
- Er-Rabiai Y, Torres-Lacomba M, Casana J, Lopez-Bueno R, Nunez-Cortes R, Calatayud J. The effectiveness of adding transvaginal radiofrequency to pelvic floor muscle training for 6 weeks in women with stress urinary incon- tinence. a double-blind randomised controlled trial. Int Urogynecol J. 2024;35(9):1817-1828.
- Abdelaziz A, Blusewicz TA, Coley KP, Karram M. Safe- ty, tolerability and short-term efficacy of transvaginal fractional bipolar radiofrequency therapy for symptoms of stress and or mixed incontinence in conjunction with genitourinary syndrome of menopause. Neurourol Uro- dyn. 2023;42(4):807-813.
- Chinthakanan O, Saraluck A, Kijmanawat A, Aimjirakul K, Wattanayingcharoenchai R, Manonai J. Comparison of low-energy radiofrequency thermal vaginal therapy with sham treatment for stress urinary incontinence in postmenopausal women: a randomized controlled trial. Int J Womens Health. 2023;15:1779-1790.
- Patino ID Validacion del ICIQ-UI SF en una poblacion de Bogota, y su relacion con el tipo y severidad de la incon- tinencia. Estudio prospectivo metacentrico.
- Espuna Pons M, Rebollo Alvarez P, Puig Clota M. [Vali- dation of the Spanish version of the International Con- sultation on Incontinence Questionnaire-Short Form. A questionnaire for assessing the urinary incontinence]. Med Clin (Barc). 2004;122(8):288-292
- Potenziani Cuestionario de impacto de la incontinencia urinaria en la calidad de vida de la mujer (Potenziani- 14-CI-IO-QOL2000). Asociacion Espanola de Urologia.
- Espuna Pons M, Puig Clota M, Rebollo Alvarez P. [Vali- dation of the Spanish version of the «Bladder control Self-Assessment Questionnarie» (B-SAQ). A new screen- ing instrument for lower urinary tract dysfunction]. Actas Urol Esp. 2006;30(10):1017-1024.
- Corcos J, Beaulieu S, Donovan J, Naughton M, Gotoh M, Symptom Quality of Life Assesment Committee of the First International Consultation on I. Quality of life as- sessment in men and women with urinary incontinence. J Urol. 2002;168(3):896-905.
- Franic D, Franic Ivanisevic M, Verdenik I. Radiofrequen- cy as the new opportunity in treating overactive bladder and urge urinary incontinence-a single-arm pilot study. Medicina (Kaunas). 2024;60(2):197.
- Jen E, Hsieh TH, Lu TC, Chen MC, Lee FJ, Lin CT, Chen SC, et al. Effects of pulsed-radiofrequency neuromodula- tion on the rat with overactive bladder. Neurourol Uro- dyn. 2017;36(7):1734-1741.
